・COVID-19という名前の新しい形のコロナウイルスは急速に広がっています。
・北京に拠点を置く新興企業であるinferVISIONは、COVID-19の視覚的兆候を識別するGPUによるAIツールを開発しました。
・既に中国の34の病院で32,000を超える症例の検査に使用されています。
中国の武漢にある小さな「ウェットマーケット」(鳥や魚などの生きた動物と死んだ動物の両方を販売している)で始まったことが、今や世界的に大きな問題となっています。
コロナウイルスの新しい形態として識別されるCOVID-19は急速に広がっています。3月の第1週の時点で、92,000以上の症例と3,150人以上の死亡が確認されています。
この大流行に対抗するために、inferVISIONはGPUで高速化されたAIツールを開発し、COVID-19の視覚的兆候を特定することに成功しました。inferVISIONは、医療AIソリューションを開発する北京に拠点を置く新興企業です。
Zhongnan Hosptialの医師チームは、ソフトウェアを駆使し、この非常に伝染性の高いウイルスの疑いのケースをほぼ即座に探知しています。これにより、数日待つ従来の検査から、患者をより効率的に隔離することができます。
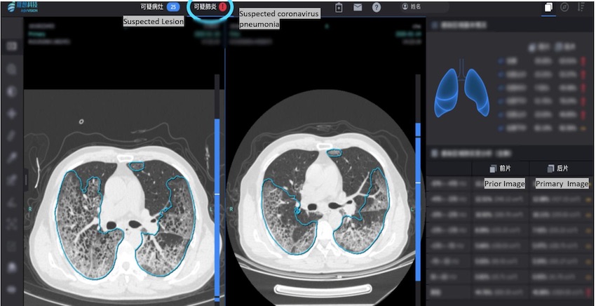
このツールの仕組み
COVID-19感染の兆候を検出する際、ツールはコロナウイルスによって引き起こされる肺炎を探し出します。inferVISIONは、アウトブレイクが始まる前から肺炎モデルをすでに持っていました。このモデルを設定し、コロナウイルス肺炎を正確に分析しました。
初期コロナウイルス患者の2,000を超えるCTスキャンでトレーニングされたこのツールの中核は、ヘルスケアおよびライフサイエンスの開発者向けに最適化されたアプリケーションフレームワークであるNVIDIA Claraです。フルスタックのGPUアクセラレーションライブラリと、高度な画像化とゲノミクスのリファレンスアプリケーションで構成されています。
コロナ 発生前には、inferVISIONシステムは、ガンを検出するために数十万の肺スキャンでトレーニングされていました。トレーニング画像は、中国のさまざまな病院から収集されました。

コロナウイルスを迅速に検出するためのInferRead CT肺炎ソリューション| クレジット:inferVISION
このAIを搭載したシステムには、3つの大きな利点があります。
1.処理に時間がかかる従来の手法とは異なり、医師が最適な治療法を迅速に決定できます。たとえば、咳や発熱などの一般的な症状が見られない人もいますが、肺にGGO(すりガラス状の混濁)が見られ、後にCOVID-19であることが確認されるケースなどです。
2.同じ患者のさまざまな検査で、肺の発達と変化を迅速に比較できます。この多忙な発生環境では、このタスクを手動で実行することは難しく、誤った結果につながる可能性があります。医師は形状と体積の変化を見つけるのは困難でしたが、既に実例が登録されたAIは密度の軽微な変化も正常に探知しました。
3. PCR診断を実行する人的資源が感染することを減らせます。実際、AIとCTは、同様のアウトブレイクでのPCR検査の代理として機能します。
これまでのところ、新しいAIツールは、中国の34の病院で32,000を超えるCOVID-19の症例を検査するために使用されています。 現在、米国とヨーロッパの診療所でも試されています。










